Cabinet dentaire du Dr JANIN
Chirurgien-Dentiste à MONACO
Accueil
Le Cabinet
Plan d'accès
Urgences
Fiches Conseils
Contact
Vidéos pédagogiques
Soins, hygiène et pathologies
Traitement des gencives
Prothèses dentaires
Implants dentaires
Dentisterie esthétique
Accueil
Le Cabinet
Plan d'accès
Urgences
Fiches Conseils
Contact
Vidéos pédagogiques
Soins, hygiène et pathologies
Traitement des gencives
Prothèses dentaires
Implants dentaires
Dentisterie esthétique
Cabinet dentaire du Dr JANIN
Chirurgien-Dentiste à MONACO
26 BIS BOULEVARD PRINCESSE CHARLOTTE
98000
MONACO
+37793304608
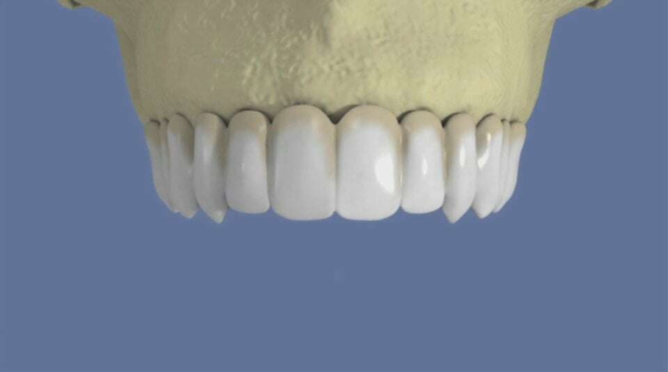
Maxillaire : bridge vissé sans fausse gencive
Vidéos 3D
Partager
Twitter
Partager
Partager
Envoyer
Copier
Cabinet dentaire du Dr JANIN
26 BIS BOULEVARD PRINCESSE CHARLOTTE
98000
MONACO
+37793304608
Conditions Générales Utilisation
Mentions légales
Politique de confidentialité et charte cookie
Charte déontologique
Ordre national
Annuaires chirurgiens dentistes
Hygiène & Asepsie
Honoraires & Remboursement
Création par
Connexion